HOME ≫ 院内紹介 ≫
院内紹介
2階診療室は明るく大きな窓から渋谷川の静かな川の流れと豊かな木々の緑をご覧いただくことができる診療チェアーが2台と、半個室にセパレートされた診療チェアー1台の計3台にて診療が行われています。
また、晴れた日には木漏れ日も差し込み、患者様からも「眺めが良い」「明るくて気持ちが良い」とたいへん好評です。
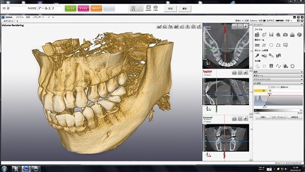
当院では安心して長年通っていただくために、体にも安心で診断精度の高いCT(三次元レントゲン撮影機器)も完備した最新のレントゲン撮影機器も導入しております。
※すべての部品が純日本製で作られたレントゲン撮影機器で、放射線被爆量が従来より10分の1以下に抑えられています。
また、2023年8月には5階にクリニックを増設いたしました。 この5階のクリニックでは、従来の治療に加え、特色ある3つの診療室を新たに設けました!
1.根幹治療や虫歯治療、インプラント治療をより、精密に行うためのマイクロスコープ(精密な歯科用顕微鏡)を備えた診療室
2.リップアートメイクやボトックス、ヒアルロン酸治療を行うための美容特化の診療室
3.西山歯科医院で1番重要な予防歯科を担うクリーニングや PMTC(予防ケアや着色取りを含む1時間の自費のクリーニング)を行う専用の診療室
いままでの、歯科治療に加え、様々なニーズに対応すべく、最新の機器や設備を揃え、スタッフ一同笑顔でお待ちしております。
是非、来院お待ちしております!
マイクロスコープによる歯科治療のメリット
- 精密な治療
肉眼では見えない微細な部分を3倍から30倍程度に拡大観察でき、非常に精密な治療が可能です。
小さなむし歯や被せ物・詰め物のズレを初期段階で発見し、健康な歯を最大限に保存できます。
- 治療精度の向上
暗く狭い根管部分も明るく拡大できるため、従来の治療と比較して精度が向上します。
視野が拡大され、正確な診断と治療が可能です。
- 患者の負担軽減
削るべき部分がごくわずかで済み、健康な歯を最大限に残すことができるため、治療の痛みや腫れを最小限に抑えます。
早期の治癒も期待できます。
- 治療の可能性が広がる
これまで確認できなかった患部も正確に診断・治療でき、治療の可能性が広がります。
根管治療の成功率が飛躍的に向上し、歯の寿命が延びます。
- 再治療の減少
肉眼では見落としや見逃しが発生する可能性がありますが、マイクロスコープでは細部まで鮮明に拡大描写するため、無駄な治療・不完全な治療がなくなります。
- 治療の効率化
診療部位の見落としや取り残しがなくなり、より効率の良い歯科診療が行えます。
再治療のリスクが減少し、治療期間も短縮されます。
- 患者様の安心感
液晶モニターを通じて治療内容を説明することで、患者様に安心感を提供します。
精密な診断と治療を通じて、患者様に質の高い歯科医療を提供できます。
当院ではこういった最新鋭のマイクロスコープを使用することで、すべての処置に対して、これらのメリットを享受しながら、
より高品質な歯科治療を提供することが可能となっており、大変満足していただいております。















